デンタルフェニックスとは > 製作実績
前へ
|
1
|
2
|3|
4
|
次へ
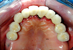
Procera Custom Abutment
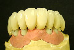
Procera Implant Bridge
前へ
|
1
|
2
|3|
4
|
次へ
DENTAL PHENIX, Co,.Ltd
Copyright(c) DENTAL PHENIX. Co., Ltd., All rights reserved.