デンタルフェニックスとは > 製作実績
前へ
|
1
|2|
3
|
4
|
次へ
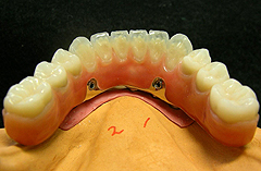
Mandibular Combination
Lateral Screw
前へ
|
1
|2|
3
|
4
|
次へ
DENTAL PHENIX, Co,.Ltd
Copyright(c) DENTAL PHENIX. Co., Ltd., All rights reserved.